[첨단 헬로티]
AI 의료영상 분석 원천기술로 코로나 병변 탐지, 분할, 정량화 가능한 신규 소프트웨어 개발해
메디컬아이피가 조속한 코로나19 문제 해결을 위해 자체 개발 소프트웨어를 전 세계에 무료 배포한다.

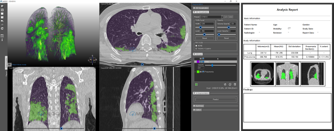
▲MEDIP COVID19를 실행한 모습
AI 의료영상 분석 플랫폼 및 의료용 3D프린팅 전문기업 메디컬아이피가 CT 영상을 활용해 코로나 폐렴 증상을 정량화 할 수 있는 소프트웨어 ‘MEDIP COVID19‘을 전 세계에 무료로 배포한다고 지난 18일 밝혔다.
회사 측은 “한중 코로나 환자의 익명화 된 의료데이터를 활용해 코로나19에 특화된 AI 기술을 개발했다”며, “이 기술로 환자의 CT 영상을 분석해 1분 내외로 코로나 폐렴을 자동으로 탐지, 분할, 정량화 할 수 있다“고 설명했다.
전 세계적으로 코로나 의심환자와 확진자 수가 급증하는 가운데 조기 진단과 중증도 판단은 매우 중요한 화두로 떠올랐다.
기존 코로나 진단 키트는 경증 환자와 중증 환자의 구분이 불가하거나 진단능이 부정확한 경우가 있지만, CT를 기반으로 한 폐렴 병변의 분석은 코로나 감염 여부를 신속하게 판단하는 데 도움을 주는 것은 물론 중증 환자를 빠르게 진단할 수 있어 치료 효과를 극대화하고 사망까지 이르는 확률을 줄일 수 있다.
특히, 높은 전파력으로 인해 한정된 의료자원을 신속하고 정확하게 분배해 중증 환자 치료에 집중해야 하는 현 상황에서, 폐렴을 정량화하는 기술은 중증 환자의 선별과 치료에 큰 기여를 할 것으로 기대된다.
이번 ‘MEDIP COVID19’의 개발에는 서울대학교병원, 중국 란저우대학제1병원, 시안국제병원 등 국내·외 다기관 의료진이 참여했으며, 메디컬아이피의 AI 의료영상 분석기술을 기반으로 설계됐다.
메디컬아이피는 CT, MRI 등 2차원 의료영상을 3차원으로 즉각 구현하고 이를 분할 및 분석할 수 있는 원천기술을 보유하고 있다. 이를 통해 단층 촬영 이미지만으로 판별하기 어려운 환자 인체 내부의 장기와 병변 등을 누구나 직관적이고 정확하게 파악하도록 돕는다.
메디컬아이피의 주력제품인 ‘MEDIP PRO(메딥프로)’는 지난해 말 미국 FDA, 유럽 CE 인증을 획득하는 등 회사가 보유한 AI 의료영상 분석 기술은 이미 글로벌 표준 수준에 부합하는 기술 경쟁력이 검증된 바 있다.
이에 대해 메디컬아이피 박상준 대표이사는 “코로나19에 대해 WHO가 팬데믹(Pandemic)을 선언하는 등 전 세계적 위기를 겪는 시기에 전 인류의 보건에 기여할 수 있는 소프트웨어를 개발 및 무료 배포하게 됐다”고 말했다.
이어 그는 “해당 소프트웨어로 코로나 환자의 조기 진단과 중증도 판단을 신속하게 진행함으로써 환자들의 치료 효과를 높이고 의료 자원을 보다 효율적으로 활용하여 코로나 사태가 빠르게 종식될 수 있기를 바란다”고 전했다.





